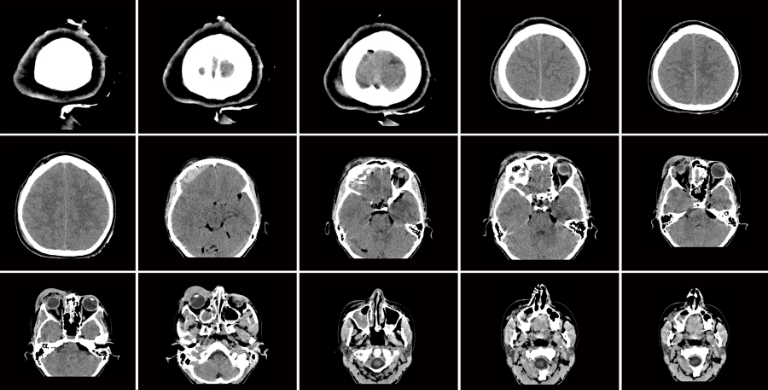
Cerebrovascular disease: what you need to know

Cerebrovascular disease refers to a group of conditions that affect the blood vessels and blood flow in the brain.
Intercare Century City welcomes Dr Lee-Anne Classen

Intercare extends a warm welcome to Dr Lee-Anne Classen, an experienced general practitioner who has joined the medical team at Intercare Century City.
Intercare Waterstone welcomes Dr Sarel van der Linde

Intercare extends a warm welcome to Dr Sarel van der Linde, who has joined the dental team at Intercare Waterstone.
Intercare welcomes Dr Ingrid Lizamore to the Summerstrand team

Intercare extends a warm welcome to Dr Ingrid Lizamore, a general medical practitioner and the newest addition to the Intercare Summerstrand team.
Intercare welcomes Dr Clair Learmonth to the Silver Lakes team

We welcome Dr Clair Learmonth, an experienced general practitioner who will be joining the Intercare Silver Lakes team from 2 September 2024.
Top 6 flu myths debunked

Dr Yolande Louw, General Medical Practitioner at Intercare Silver Lakes separates fact from fiction by clarifying some common myths about flu and influenza.
Irritability and feeling on edge

It’s normal to go through life having the odd day when it feels like everything is getting on top of you and the world is too much to handle.
Intercare welcomes Dr Leoné Barnard to the Bedfordview team

Intercare is pleased to welcome the newest addition to our Bedfordview dental team, Dr Leoné Barnard
Intercare Glenfair welcomes Dr Christiaan Slabbert

Dr Christiaan Slabbert, an experienced dentist, will be available at Intercare Glenfair on Tuesdays and Thursdays from 18 July 2024.
Intercare Linden Welcomes Dr Willem van Staden

Dr Willem van Staden is a highly experienced and dedicated healthcare professional.